El hematoma subdural es una afección neurológica que se produce cuando se acumula sangre entre el cerebro y la duramadre, una de las membranas que lo recubren. Este sangrado suele originarse por la ruptura de pequeñas venas, generalmente a causa de un golpe en la cabeza, aunque no siempre se trata de traumatismos severos.
Murió Luis Brandoni: la despedida de famosos, artistas y políticos en redes sociales
En muchos casos, el impacto puede haber sido leve o incluso pasar inadvertido, lo que vuelve más complejo su diagnóstico, especialmente en personas mayores.
Tipos de hematoma subdural: diferencias entre agudo y crónico
Existen dos formas principales de hematoma subdural, que se diferencian por la velocidad con la que evoluciona el sangrado. En su forma aguda, los síntomas aparecen poco tiempo después del golpe y pueden incluir pérdida de conciencia o deterioro neurológico rápido, lo que requiere atención médica inmediata.

En cambio, el hematoma subdural crónico se desarrolla de manera progresiva, a lo largo de días o semanas, y suele presentar signos más sutiles, que pueden confundirse con otras condiciones.
Por qué el hematoma subdural es más frecuente en adultos mayores
Con el paso del tiempo, el cerebro tiende a reducir levemente su volumen, lo que genera mayor tensión en las venas que lo conectan con la duramadre. Esta condición hace que, en adultos mayores, incluso caídas domésticas o golpes menores puedan desencadenar un sangrado interno.
Murió Luis Brandoni, actor emblema del cine, televisión y teatro argentinos
Por eso, los especialistas recomiendan prestar atención a cualquier golpe en la cabeza, aunque en un primer momento no presente síntomas evidentes.
Síntomas del hematoma subdural: cuáles son las señales de alerta
Los síntomas varían según la magnitud del hematoma y la zona afectada, pero suelen incluir dolor de cabeza persistente, somnolencia, desorientación, problemas de memoria y dificultades para hablar o caminar.
En los casos más graves pueden presentarse convulsiones o pérdida de conciencia. Sin embargo, en los cuadros crónicos, estos signos pueden aparecer de forma gradual y confundirse con cambios propios del envejecimiento.
Cómo se diagnostica un hematoma subdural
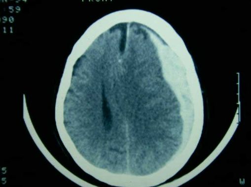
Ante la sospecha de esta afección, los médicos recurren a estudios por imágenes como la tomografía computarizada o la resonancia magnética, que permiten confirmar el diagnóstico y evaluar la extensión del sangrado.
"Parque Lezama": el último trabajo de Luis Brandoni en ficción que es furor en Netflix
El diagnóstico temprano es clave para evitar complicaciones y definir el tratamiento adecuado.
Tratamiento del hematoma subdural: cuándo se necesita cirugía
El tratamiento depende de múltiples factores, como el tamaño del hematoma, la velocidad de evolución y el estado general del paciente. En algunos casos, cuando el sangrado es leve, puede optarse por un seguimiento clínico con controles periódicos.
Sin embargo, si la acumulación de sangre genera presión sobre el cerebro o provoca síntomas neurológicos, suele ser necesaria una intervención quirúrgica para drenar el hematoma y aliviar la presión intracraneal.
Casos conocidos que visibilizaron el hematoma subdural
En los últimos años, esta afección cobró relevancia pública a partir de episodios que involucraron a figuras reconocidas, como Diego Armando Maradona o Cristina Fernández de Kirchner.
Estos casos evidencian que se trata de un cuadro frecuente, con distintas formas de evolución y cuyo pronóstico depende de factores como la edad del paciente, la rapidez del diagnóstico y el tratamiento oportuno.
LV/ff