La Administración Nacional de Medicamentos, Alimentos y Tecnología Médica (ANMAT) autorizó el uso de daratumumab para pacientes del mieloma múltiple que no vayan a recibir trasplante de médula ósea. La autorización se basa en los resultados del estudio internacional de fase 3 CEPHEUS que testeo la eficacia de agregar daratumumab al tratamiento estándar de quimioterapia. Se estudiaron a más de 700 pacientes y los resultados demostraron un panorama muy optimista: en 6 de cada 10 pacientes no se detectaron células del mieloma con las pruebas más sensibles, el 48,7% logro una EMR (Enfermedad Mínima Residual) negativa, lo que significa que no hubo nuevas células detectadas en un año o más, contra el 26,3% que no utilizo daratumumab.
El 19,6% más de los pacientes lograron eliminar los rastros del mielo con el nuevo medicamento y aumentar el tiempo sin que la enfermedad avanzara.
Descubren que las especies de mamíferos más cooperativas tienen muchos menos casos de cáncer
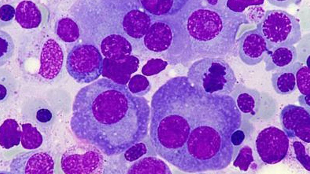
El mieloma múltiple es un tipo de cáncer que se encuentra en la sangre y se origina en las células plásticas de la médula ósea haciendo que estas se múltiple descontroladamente y se produzcan anticuerpos que son contraproducentes para el sistema inmunológico ya que afectan a la generación de glóbulos rojos, blancos y plaquetas, lo cual puede derivar en problemas serios como insuficiencia renal, anemia, fracturas óseas, y otras infecciones.
En argentina este anuncio da fe a los pacientes de mieloma múltiple ya que esto permite darle otro aire a las terapias acotadas que recibían y podrán acceder a una que de mejores resultamos, en nuestro país se diagnostican aproximadamente 1300 casos al año en personas de 50 a 70 años.

¿Qué es el daratumumab?
El daratumumab es un anticuerpo monoclonal dirigido a atacar una proteína ubicada en las células del mieloma llamada CD38, su forma de actuar se basa en combinar la activación del sistema inmunológico con los efectos citotóxicos directos para destruir las células del mieloma múltiple.